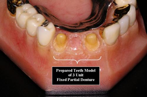
Dental Photos Search Prepared Teeth for 3 Unit Bridge Prepared Teeth Model for 3 Unit Fixed Partial Denture Pulp Chamber Pulp Space Radiograph of Periapical Abcess Radiographic Calculus Radiographic Decay Recurrent Caries Under Crown Restored Implants Retracted View of Locator Attached Dentures Ridge Augmentation (After) Ridge Augmentation (Before) Right Side View of Fixed Hybrid Overdenture Root Root Canal Space Root of Tooth Root Resorption Roots on Incisor Roots on Molar RPD Attachment Severe Periodontitis Severe Periodontitis Severe Wear Side View of Crown Six Upper Implants with Locators Smile of Patient with Dentures Smile with Locator Attached Dentures Splinting « ‹ of 8 › »